Clinical Evaluation of the IOS Distal Cinch Pliers: Precision, Control, and Wire Integrity in Orthodontics


Abstract
Dr. Nielson’s clinical evaluation investigates the performance and precision of the IOS Mini Distal Cinch Pliers in achieving controlled distal bends during orthodontic finishing. A comparative analysis with conventional Hammerhead pliers highlights improvements in wire integrity, torque accuracy, and patient comfort and a reduced rate of bracket debonding.
Introduction
Distal wire cinching plays a vital role in orthodontic treatment, as it prevents wire migration and enhances arch stability. However, conventional pliers often present clinical challenges such as wire distortion, bracket debonding, and patient discomfort. The IOS Distal Cinch Pliers were specifically developed to enhance clinical control, ergonomic handling, and mechanical precision.


Materials and Methods
Clinical evaluations were conducted using standard 0.018 x 0.025 stainless steel archwires. A comparative analysis between a regular Hammerhead plier and the IOS Mini Cinch Back Plier was performed to assess bend uniformity, distal control, and surface integrity. Identical procedural parameters were followed to ensure consistency and reproducibility.

Results
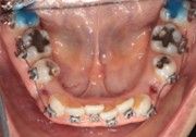
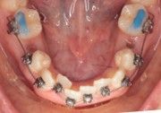
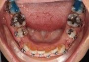
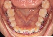
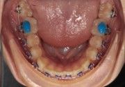
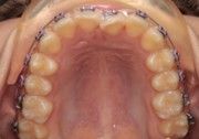
The IOS Mini Cinch Back Plier demonstrated superior control and a significantly reduced risk of bracket debonding and wire deformation compared to the regular Hammerhead plier from a different brand. Wire bends achieved with the IOS Mini Cinch Back Plier maintained integrity even under high-torque activation. The following images illustrate key differences in bend quality, wire distortion, and proximity to the bracket between the IOS Mini Cinch Back Plier and the conventional Hammerhead plier.







Dr. Nielson's Observations
Below is a summary of Dr. Nielson’s comparative observations between the conventional Hammerhead pliers and the IOS Cinch Back Plier:
| Feature | Conventional Hammerhead Pliers | IOS Mini Cinch Back Plier |
|---|---|---|
| Bracket Debonding | Elevated risk of bracket debonding when the plier is positioned in close proximity to the bracket, frequently accompanied by wire distortion due to compromised angulation control. | Minimized risk of bracket debonding even when operating in close proximity to the bracket, due to enhanced angulation control and precision. |
| Wire Distortion Risk | High risk of distortion with excessive pressure; unpredictable bends with insufficient pressure. | Reduced risk due to controlled squeeze; maintains wire integrity even near brackets. |
| 90° Bend Precision | Often results in distorted bends. | Produces broader, stable, and controlled 90° bends. |
| Short Wire Adaptability | Struggles to engage short distal wires effectively. | ‘L’-shaped head allows precise cinching with as little as 0.1 mm of distal wire. |
| Patient Comfort | Over-bending and wire tucking can cause molar contact and discomfort. | Minimizes over-bending and molar contact, enhancing patient comfort. |
| Consistency | Bend quality varies with wire length and pressure. | Predictable bend quality regardless of wire length, improving procedural efficiency. |
Discussion
The ergonomic design and enhanced clamp mechanism of the IOS Mini Cinch Back Plier allow for consistent, controlled bends without compromising bracket positioning. Compared to conventional tools, the IOS plier minimizes wire deformation and improves procedural efficiency. Clinically, this translates into reduced chair time and improved treatment predictability and patient comfort.
Conclusion
The IOS Mini Cinch Pliers represent a significant advancement in orthodontic finishing tools. Their enhanced precision, control, and ergonomic design contribute to reduce the risk of bracket debonding, superior wire handling, reduced distortion, and improved patient comfort.